facebook instagram
Before - Dr Emma Facial Aesthetics

Before

After - Dr Emma Facial Aesthetics

After

Before and after ceramic braces. Included braces, whitening and some edge bonding.

Read more
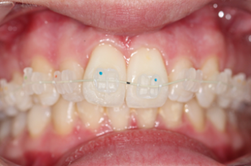
Before - Dr Emma Facial Aesthetics

Before

After - Dr Emma Facial Aesthetics

After

Treating the anterior crowding using ceramic braces. Completed in 6 months. Bonded & removable retainer to retain teeth in their new improves position

Read more

Get in touch

Testimonials

testimonials1 icon

“Just want to say thank you so much for transforming my smile. Your advice and skills is what’s going to make me feel…

star1 star2 star3 star4 star5

Mariel Harry

View more

Testimonials

testimonials1 icon

“After years of not being confident with my smile, not wanting to smile front on, close up or having ‘my side’ or ‘angle’…

star1 star2 star3 star4 star5

Nadine Hawas

View more
instagram